Quadruple-Guide Arrayed CRISPR Libraries and Novel Genetic Modifiers for Parkinson's and Prion Diseases
2026年3月12日上午,北京脑科学与类脑研究所邀请清华大学基础医学院的尹江安博士开展了一场题为“Quadruple-Guide Arrayed CRISPR Libraries and Novel Genetic Modifiers for Parkinson's and Prion Diseases”的学术报告。报告由马继延研究员主持。

尹江安博士
清华大学基础医学院助理教授
尹江安博士2009年毕业于华中科技大学,获理学学士学位。2009年-2016年就读于中国科学院神经科学研究所,师从蔡时青教授,获得博士学位;随后以博士后身份留所工作至2018年。2018年至2025年先后以研究科学家和资深研究科学家任职于苏黎世大学Adriano Aguzzi教授课题组。2026年回国加入清华大学基础医学院。
尹江安博士早期研究方向以线虫为模式生物,围绕健康衰老的分子机制展开。发现了健康寿命与寿命具有不等同的调控机制,揭示了节食延缓衰老是通过转录因子 PHA-4及其下游的活性氧清除酶(ROS scavenging enzymes)表达,进而维持神经递质5-羟色胺(5-hydroxytryptamine)和多巴胺(dopamine)水平,从而缓解衰老导致的行为学衰退。后续尹江安博士解析了衰老速度差异的遗传基础,揭示了线虫 rgba-1和 npr-28 基因的多态性与衰老高度相关,并阐明了胶质细胞通过释放 rgba-1 基因编码的神经肽激活5-羟色胺能和多巴胺能神经元中的 NPR - 28 受体以调控衰老过程。该系列工作发表于顶级学术期刊《Nature》和 《Journal of Neuroscience》中发表。
在脑所的学术报告中,尹江安博士首先介绍了当前常用的 CRISPR 混合文库(CRISPR Pooled Libraries)及其局限性。CRISPR 混合文库是指将靶向不同基因的 sgRNA 混合并包装为慢病毒,并以较低的滴度感染细胞,以保证单个细胞只会被一种慢病毒感染,随后通过深度测序技术揭示基因与细胞生长或药物抗性之间的关系。但 CRISPR 混合文库主要适用于研究细胞自主性(Cell-autonomous)表型,而对于反应细胞的非自主性表型(Non-autonomous phenotypes)并不适用或难以适用,此外,单个 sgRNA 的编辑效率波动较大,在神经退行性疾病研究中,人类遗传多态性的存在也会进一步影响其稳定性和适用性。针对这些问题,尹江安博士构建了一种更高效的,能进行遗传学和表观遗传学功能缺失/获得的 CRISPR 阵列文库(CRISPR arrayed libraries)。

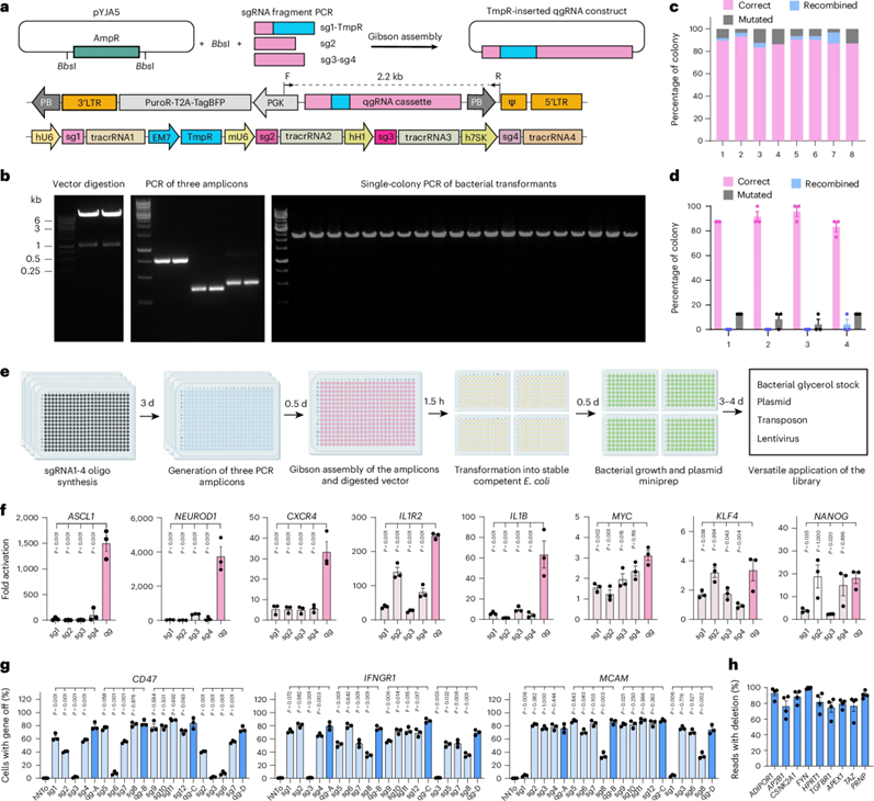
经过反复实验,尹江安博士发现四个不同的 sgRNA 靶向相同基因可以显著提升基因操作效率,有效缓解单条 sgRNA 效率不稳定的问题。基于此发现,尹江安博士通过 ALPA 克隆法 (automated liquid-phase assembly) 高通量的对大量人类基因 sgRNA 进行表达。ALPA 克隆法是将四个不同 sgRNA 通过 Gibson assembly 插入载体,并且在其中插入甲氧苄啶(trimethoprim)抗性基因,通过抗性筛选代替单菌落培养及测序步骤,由此,从质粒构建到慢病毒包装可以全在液相中完成。同时每个 sgRNA 以不同的启动子进行表达,以保证该系统在不同细胞中均有较稳定的工作效率。
随后尹江安博士对目前已知的人类基因组进行 sgRNA 设计,4 个靶向相同基因的 sgRNA 之间保持极低的序列相似性,避免同源重组导致的质粒序列错误。其靶向序列避开遗传多态性区域,同时降低4条 sgRNA 靶向区域之间的重叠程度,以提升其靶向效能。基于这一策略,尹江安博士建立了两个 CRISPR 文库,分别命名为“T.gonfio”和“T.spiezzo”,前者用于基因过表达或者表观沉默筛选,后者用于基因敲除筛选。


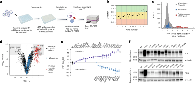
为验证“T.gonfio”的性能,尹江安博士利用该文库对目前已知的转录因子进行过表达筛选,以寻找与 PrPC 相关的转录因子。通过慢病毒感染,并在识别 Prion 不同位点的两种抗体 POM1 和 POM2 上分别偶联铕离子(europium chelate)和别藻蓝蛋白(Allophycocyanin)构建分辨荧光共振能量转移检测系统(Fluorescence Resonance Energy Transfer)成功筛选出 36 个与 PrP 相关的转录因子,后续的 western blot结果进一步证明了这些转录因子的准确性。该结果为 PrPC 的生物学研究提供了新思路,同时也验证了通过“T.gonfio”进行过表达筛选的可靠性。

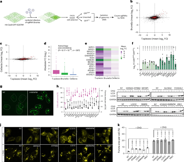
“T.spiezzo”的性能尹江安博士通过筛选自噬相关基因加以验证,并将筛选结果与目前常用的 CRISPR 文库“Brunello”和“Cellecta”进行比较。自噬表型通过将 GFP 与 SQSTM1 融合为重组蛋白,通过流式细胞术进行筛选。结果表明,相对于“Brunello”和“Cellecta”,“T.spiezzo”筛选出了更多自噬相关基因,这些基因都通过 western blot 和氯喹(Chloroquine)处理后的免疫荧光得到了验证。对于三个文库共同筛选得到的基因,“T.spiezzo”具有更高的信噪比,表明相较于目前常用 CRISPR 文库,“T.spiezzo”具有更强的应用潜力。

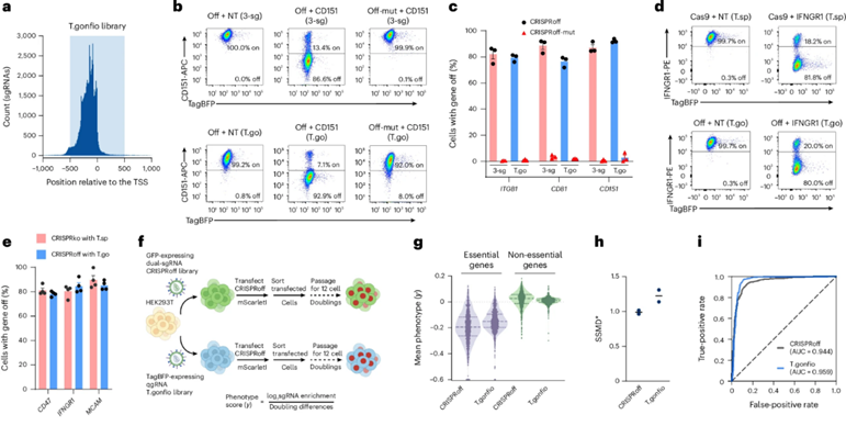
在确认了“T.gonfio”和“T.spiezzo”的性能后,尹江安博士拓展了该文库的应用场景。CRISPR off 技术通过在 sgRNA 的引导下靶向甲基化特定序列实现了可逆且可遗传的基因沉默。尹江安博士发现“T.spiezzo”中多数 sgRNA 的靶向序列与 CRISPR off 重叠。实验结果表明,细胞分裂 10 代后,“T.gonfio”的基因沉默作用仍然存在,提示“T.gonfio”也可用于表观遗传沉默筛选。


最后,尹江安博士对目前正在进行的有关朊蛋白毒性和葡糖脑苷脂酶(GCase)的工作进行了简述,并与听众进行了友好讨论。提出的问题包括ALPA克隆法中的引物和 tracrRNA 设计,及 PRP 株系与细胞间传播等,尹江安博士对相关问题逐一进行了详细回答。
撰稿人:张知尧


